渡辺矯正歯科
●なんば駅から7分  ●日本橋駅から1分 ●月・水・木・金・日 14:00 ~ 19:30 ●Tel.06-4393-8207 電話をかけます。 WEB予約をします。 メニューを表示します。
マウスピース矯正で治ったキレイな症例が沢山!

大阪・中央区・なんば・日本橋 インビザライン特化医院

症例紹介
CASE
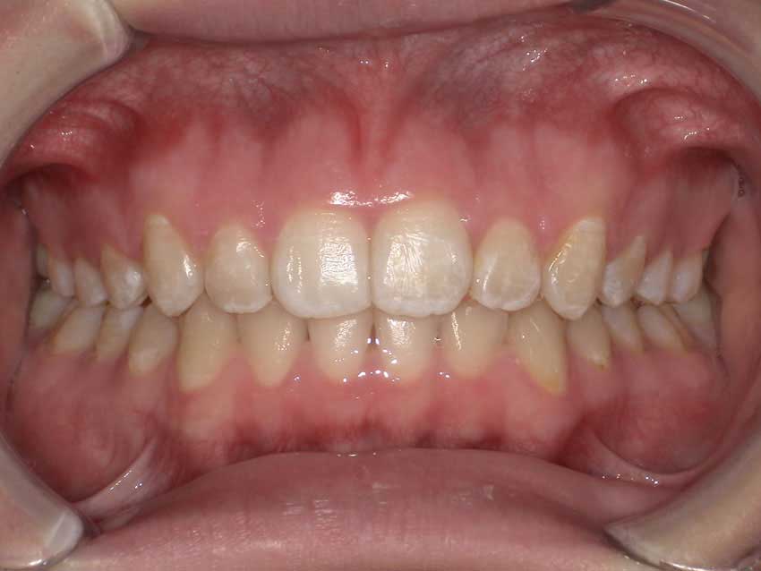
1. 症例 - マウスピース矯正
  • ・歯列分類 : 反対咬合 (受け口)
  • ・患者様 : 36歳 女性
  • ・治療期間 : 3年2ヵ月
  • ・抜歯 : なし

BEFORE
AFTER
治療計画 ・ 1回目
治療計画 ・ 最終回
2. 症例 - マウスピース矯正
  • ・歯列分類 : 空隙歯列 (すきっ歯)
  • ・患者様 : 43歳 男性
  • ・治療期間 : 1年3ヵ月
  • ・抜歯 : なし

BEFORE
AFTER
治療計画 ・ 1回目
治療計画 ・ 最終回
3. 症例 - マウスピース矯正
  • ・歯列分類 : 過蓋咬合 (咬み合わせが深い)
  • ・患者様 : 13歳 女性
  • ・治療期間 : 1年8ヵ月
  • ・抜歯 : なし

BEFORE
AFTER
治療計画 ・ 1回目
治療計画 ・ 最終回
4. 症例 - マウスピース矯正
  • ・歯列分類 : 叢生 (歯が凸凹)
  • ・患者様 : 20歳 女性
  • ・治療期間 : 2年4ヵ月
  • ・抜歯 : あり

BEFORE
AFTER
5. 症例 - マウスピース矯正
  • ・歯列分類 : 開咬 (前歯が咬んでいない)
  • ・患者様 : 35歳 女性
  • ・治療期間 : 2年7ヵ月
  • ・抜歯 : あり

BEFORE
AFTER
6. 症例 - ワイヤー矯正
  • ・歯列分類 : 上顎前突 (出っ歯)
  • ・患者様 : 23歳 女性
  • ・治療期間 : 2年5ヵ月
  • ・抜歯 : あり

BEFORE
AFTER
1. 症例 - 乳歯矯正
  • ・歯列分類 : 反対咬合 (受け口)
  • ・患者様 : 3歳 男
  • ・治療期間 : 1年2ヵ月
  • ・抜歯 : なし

BEFORE
AFTER
2. 症例 - マウスピース矯正
  • ・歯列分類 : 叢生 (歯が凸凹)
  • ・患者様 : 8歳 男
  • ・治療期間 : 11ヵ月
  • ・抜歯 : なし

BEFORE
AFTER
3. 症例 - マウスピース矯正
  • ・歯列分類 : 叢生 (歯が凸凹)
  • ・患者様 : 8歳 女
  • ・治療期間 : 1年6月
  • ・抜歯 : なし

BEFORE
AFTER

● 診療案内

診療時間
14:00~19:30 × ×
休診日:火、祝 △ 11:00~18:00

● 診療カレンダー [赤字は休診日]

● 医院案内

〒542-0074 大阪府大阪市中央区千日前2-5-2
日本一歯科センタービル 3階 (日本橋駅 5, B27, B29番出口)
Tel. 06-4393-8207 Fax. 06-4393-8908
Google Mapで見る

Copyright© 渡辺矯正歯科 All Rights Reserved.

トップへ戻る